Skip Menu
Continue
  • 47 Oak Street,
  • Suite 220,
  • Stamford, CT 06905
  • Home
  • About Us
    • Our Office
    • New Patients
    • Smile Gallery
    • Dental Videos
    • Testimonials
  • Our Doctors
    • Jack Degrado, DDS
  • Services
      • View All
    • Dental Health
    • Contact
      • Contact Us
      • Request Appointment

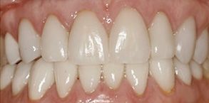
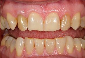
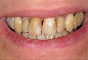
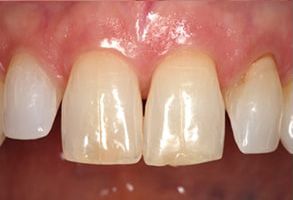
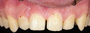
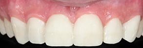
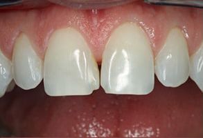
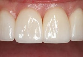
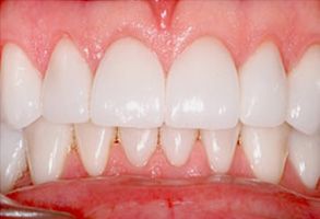
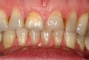
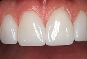
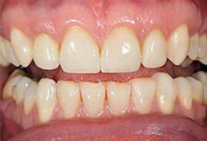
    Smile Gallery

    Additional Information

    Our Location

    47 Oak Street
    Suite 220
    Stamford, CT 06905
    (203) 325-4700

    Follow Us